重点学科项目名称:急性重型颅脑损伤的抢救治疗
项目简介:急性重型颅脑损伤对病人生命危险大,需及时、合理施救,以抢救病人生命。我院神经外科经13年磨练,积累一套完善救治手段,且凭借先进CT及核磁共振机等检查设备,及早发现病情变化,借助精良手术显微镜,我们的开颅手术技术不断精细化,至今为止,成功救治急性重型颅脑损伤病人已逾2000例。
项目优势:1、神经外科专业成立13年。现有病床36张,专业技术人员21名,其中具有高级职称3名,中级职称3名,医师3名,曾在北京军区总医院,空军总医院,北京大学第二医院,解放军总医院(301医院),北京大学第三医院,天津环湖医院,河北省二院,武警总医院进修学习,且与进修医院专家有经常的合作。2、拥有亚低温治疗设备,多参数监护仪等先进医疗设备,有独立的神经外科重症监护病房。3、能熟练开展手术:急性硬膜外、下血肿开颅血肿清除减压术,脑疝内外减压,颅骨骨折修复术,脑室穿刺引流及颅内压监测,简易气管切开术。
科主任孙继龙曾多次去北京专科医院学习,熟练掌握神经外科常见病、多发病诊治。科内常规开展手术:高血压脑出血的显微镜下血肿清除、开颅手术血肿清除及经皮穿刺置管引流术、大面积脑梗塞去骨瓣减压,颞肌贴附术、小脑扁桃体下疝畸形、脑积水脑室腹腔分流术、颅骨缺损修补术、颈椎病前后路手术、腰椎间盘突出、腰椎管狭窄的手术、腰椎压缩骨折椎弓根内固定术。
适应症:各种重型、特重型颅脑损伤病人。
咨询联系电话:0315—5723053 5723063 5723073 5723083
神经外科特色专科手术资料:
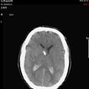
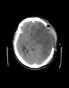
颅脑损伤——开展重型颅脑损伤的大骨瓣减压、后颅窝血肿清除减压、人工硬膜修补、矢状窦破裂修补、凹陷骨折整复、快速气管切开术;亚低温治疗,成功的挽救多名危重患者的生命。后期联合高压氧治疗、钙离子拮抗剂、促醒药物治疗、颅骨修补手术和康复治疗多种方法结合提高患者的生存率和生存质量。总结出重型颅脑损伤有效和规范的治疗方法。
  
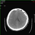
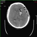
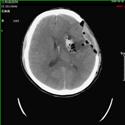
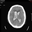
1).硬膜外血肿 术前 术后
  
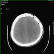
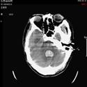
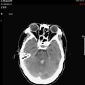
2).颅后窝血肿术前 术后
  
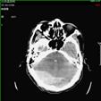
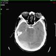
3).颅骨凹陷性骨折术前 术后
 
4).颅骨修补术 DR片 三维重建
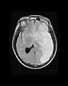
脑血管病——对于基底节区、各脑叶及小脑脑出血采用常规的开颅手术。尤其是及时清除血肿减压,打破脑出血后一系列恶性循环,降低患者的死亡率。开展大面积脑梗塞开颅去骨瓣减压颞肌贴附治疗成功抢救多名脑血管意外患者。同时开展脑室穿刺引流治疗脑室出血;脑积水脑室腹腔分流手术。
  
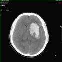
1).高血压脑出血 术前 术后
  
2).脑室出血 行脑室穿刺外引流 术前 术后

3).大面积脑梗死 术前 术后
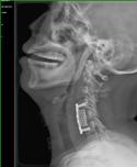
颈椎间盘突出、颈椎管狭窄——开展颈椎前路、后路手术治疗颈椎间盘突出、颈椎管狭窄,解除许多患者病痛,通过网上会诊方便患者,在家就能得到著名脊柱外科专家王少波教授诊治。

1).C4/5、C5/6间盘突出术前、 术后(C5椎体次全切除,钛笼植入)
 
2). C5-C6间盘突出术前、 术后(间盘切除,Cage植入)
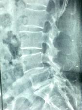
脊柱创伤、退变——开展颈椎骨折椎体次全切除植骨内固定,胸、腰椎压缩骨折椎弓根钉内固定,椎管狭窄减压手术,总结积累脊柱创伤有效治疗方法。

1).腰2椎体压缩约2/3术前、 术后

2).腰5滑脱 术前、 术后
|