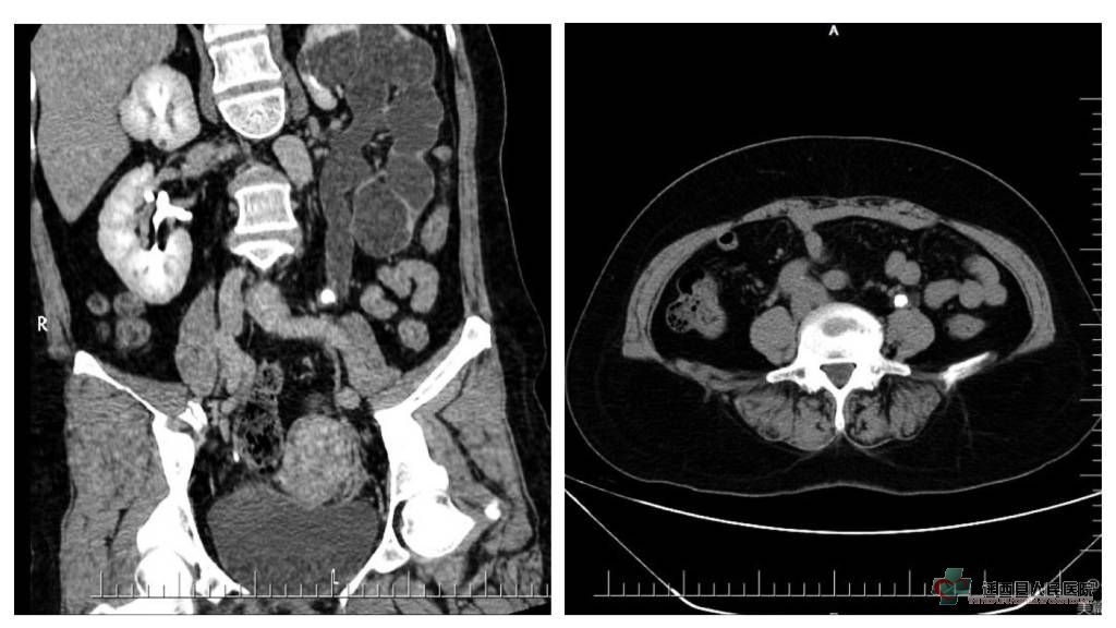
近日,泌尿外科收治了一名左侧输尿管上段结石患者,患者入院前已发现左侧输尿管结石2个月余,结石直径近1.5cm,且未采取积极治疗,按惯例,应行输尿管镜碎石治疗,但完善检查后发现患者病情并非想象的那样简单,泌尿系CT显示左侧输尿管结石伴有左肾重度积水,梗阻段输尿管及左肾皮质及其薄弱(如下图)。

在赵卫军主任及彭永光副院长的主持下,科室对此病例展开了激烈的讨论。这种情况如妄行输尿管碎石治疗,首先极有可能出现输尿管上段或左肾破裂,导致严重后果,其次,因梗阻段扩张,碎石过程中结石必定上移进入肾内,使其结石清除率显著降低而达不到预期效果。传统输尿管切开取石虽可以完整取出结石,但对患者创伤较大,术后并发症多,治疗周期长。权衡利弊,科室最终决定行腹腔镜下输尿管切开取石术,这样既能保证结石清除率,又实现了微创的目的。

在彭永光副院长带领下,外二科团队圆满完成了我院首例腹腔镜下输尿管切开取石术,患者病情治愈满意而归。 术中情况:

腹腔镜下游离输尿管

切开输尿管取出结石

植入支架管预防输尿管狭窄及输尿管漏

腔镜下完美缝合输尿管

传统手术切口与微创手术切口对比图
微创技术是外科技术发展的主流趋势,就该手术而言,在腹腔镜下进行切开取石术,具有对病人损伤小、恢复快,创伤小、术中出血少、切口疼痛轻微、不影响美观、住院时间短等优点,相对于以前传统的经腹输尿管切开取石相比,此路径直接,不干扰腹腔,避免了对腹腔脏器的影响,更有利于术后的恢复。该手术的成功开展,标志着我院在泌尿外科领域的诊疗技术水平跨上了一个新的台阶。
(供稿:外二科 编辑:张悦 监审:吴广帅) |